Οξύ στεφανιαίο σύνδρομο: Τι είναι και διάγνωση

Οξύ στεφανιαίο σύνδρομο ή ΟΣΣ, έχουμε όταν μειώνεται δραματικά το αίμα προς την καρδιά. Στις περισσότερες περιπτώσεις, προκαλείται από τη ρήξη μιας αθηρωματικής πλάκας στις στεφανιαίες αρτηρίες.
Οι αθηρωματικές πλάκες είναι μη φυσιολογικές συσσωρεύσεις στοιχείων στα αιμοφόρα αγγεία. Η αποκόλληση ενός τμήματος του αθηρώματος προκαλεί τον σχηματισμό θρόμβου. Τότε, προκαλείται μερική ή ολική απόφραξη μιας στεφανιαίας αρτηρίας.
Οι στεφανιαίες αρτηρίες είναι τα κύρια αιμοφόρα αγγεία τα οποία τροφοδοτούν την καρδιά. Έτσι, η απόφραξή τους έχει ως αποτέλεσμα τη μειωμένη ροή αίματος προς την καρδιά. Αυτό οδηγεί σε ισχαιμική καρδιοπαθολογία.
Αυτή είναι η κύρια αιτία του ΟΣΣ. Όμως, υπάρχουν και άλλα πράγματα που μπορούν να οδηγήσουν σε αυτό.
Ορισμένα από αυτά είναι τα εξής:
- Νόσος Kawasaki
- Ρευματοειδής αρθρίτιδα
- Τραύμα
- Θρόμβωση
- Υπερπηκτικές καταστάσεις
- Αρτηριακή εμβολή
- Απότομο κόψιμο στεφανιαίας αρτηρίας
- Εκ γενετής ανωμαλίες
Οξύ στεφανιαίο σύνδρομο – Κλινική εκδήλωση

Ο πόνος στο στήθος είναι το κύριο σημάδι του ΟΣΣ. Ωστόσο, μπορούν να εμφανιστούν και άλλα συμπτώματα.
Το κύριο σύμπτωμα του ΟΣΣ είναι ο πόνος στο στήθος που εκδηλώνεται γύρω από το στέρνο ή το στομάχι. Επιπλέον, ο πόνος μπορεί να επεκταθεί σε περιοχές όπως οι ώμοι, ο λαιμός, ή το σαγόνι.
Ο πόνος είναι ξαφνικός και γίνεται όλο και πιο έντονος όσο περνά η ώρα. Τυπικά, φτάνει στη μέγιστη ένταση περίπου δύο με πέντε λεπτά από την έναρξή του. Παρόλα αυτά, τα επεισόδια μπορεί να είναι διαλειμματικά ορισμένες φορές.
Άλλα συμπτώματα είναι η ναυτία, ο εμετός, ο κοιλιακός πόνος, ή η ζαλάδα. Επιπλέον, ορισμένοι ασθενείς ίσως εμφανίσουν υπόταση, ιδρώτα, χλωμάδα, και ακανόνιστους παλμούς.
Ωστόσο, σε νέους ασθενείς από 25 έως 40 ετών, και σε ηλικιωμένους ασθενείς άνω των 75 ετών, η κλινική εικόνα μπορεί να είναι ατυπική και μη συγκεκριμένη. Εφόσον είπαμε και αυτό, είναι επίσης πιθανό να εκδηλωθεί ως επιγαστρικός πόνος, αίσθημα δυσπεψίας, κόπωση, ή λιποθυμία.
Ανακαλύψτε: Σημαντικές συμβουλές για να αναρρώσετε από ισχαιμία
Η διάγνωση του οξέος στεφανιαίου συνδρόμου
Τυπικά, οι γιατροί διαγιγνώσκουν το οξύ στεφανιαίο σύνδρομο αφότου νιώσει πόνο στο στήθος με υποψία ισχαιμίας ο/η ασθενής. Σε αυτές τις περιπτώσεις, ο/η γιατρός θα κάνει επιπλέον εξετάσεις για να καθορίσει την παρουσία και τη σοβαρότητά του.
Στη συνέχεια, θα ρίξουμε μια ματιά σε αυτές τις εξετάσεις.
Ηλεκτροκαρδιογράφημα

Γενικά, το ηλεκτροκαρδιογράφημα είναι η εξέταση που προτιμούν περισσότερο οι γιατροί για τα προβλήματα με την καρδιά.
Είναι μια ιατρική εξέταση η οποία καταγράφει την ηλεκτρική δραστηριότητα της καρδιάς ανά χτύπο. Έπειτα, μια γραφική αναπαράσταση δείχνει την ηλεκτρική διέγερση των καρδιακών κόλπων και κοιλοτήτων (την κίνηση της καρδιάς δηλαδή).
Σε περίπτωση που ο/η γιατρός υποπτευθεί το ΟΣΣ, θα εκτελέσει ένα ηλεκτροκαρδιογράφημα μέσα στα πρώτα δέκα λεπτά της αξιολόγησης. Αν δε βγει συμπέρασμα από τα αποτελέσματα αλλά υπάρχουν ακόμη οι κλινικές αποδείξεις, οι ειδικοί προτείνουν την επανάληψη του ηλεκτροκαρδιογραφήματος από τους γιατρούς κάθε 15 με 30 λεπτά για να συνεχιστεί η διάγνωση.
Καρδιακά ένζυμα
Επιπλέον, τα δείγματα αίματος επιτρέπουν στους γιατρούς να αναλύσουν τα καρδιακά ένζυμα τα οποία δείχνουν την παρουσία μυοκαρδιακής νέκρωσης. Αν οι δείκτες μυοκαρδιακής νέκρωσης, οι τροπονίνες και η μάζα κινάσης κρεατίνης είναι υψηλοί τότε ο/η επαγγελματίας υγείας θα πρέπει να υποπτευθεί την ύπαρξη εμφράγματος του μυοκαρδίου.
Οι ειδικοί συνιστούν στους γιατρούς να αναλύουν αυτούς τους δείκτες μέσα στα πρώτα 60 λεπτά.
Ωστόσο, η απουσία αυτών των δεικτών κατά την αρχική ανάλυση δεν αποκλείει την ύπαρξη βλάβης στο μυοκάρδιο. Γι’ αυτό, οι γιατροί θα πρέπει να επαναλάβουν τις εξετάσεις 6 με 12 ώρες μετά την εκδήλωση του πόνου στο στήθος.
Διαβάστε επίσης: Τα συμπτώματα της καρδιακής προσβολής σε γυναίκες και άνδρες
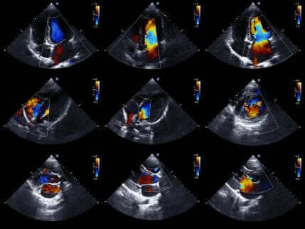
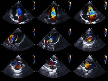
Ηχοκαρδιογράφημα

Τέλος, τα ηχοκαρδιογραφήματα ή υπερηχογραφήματα καρδιάς, επιτρέπουν στους γιατρούς να μελετήσουν με μεγαλύτερη λεπτομέρεια την καρδιά.
Το ηχοκαρδιογράφημα είναι μια πολύ δημοφιλής εξέταση. Ο λόγος είναι πως λαμβάνει εικόνες από την καρδιά. Έτσι, μπορούν να εκτιμήσουν την κατάσταση των θαλάμων της καρδιάς και τις κινήσεις τους προκειμένου να επιβεβαιώσουν ή να αποκλείσουν την ισχαιμία.
Επιπροσθέτως, αξιολογείται το μέγεθος και η δύναμη της καρδιάς, καθώς και η κατάσταση των τοιχωμάτων των καρδιακών θαλάμων. Γενικά, πρόκειται για μη επεμβατική εξέταση χωρίς να υπάρχει κίνδυνος για την υγεία του/ης ασθενούς. Ο λόγος πίσω από αυτό είναι η χρήση υπέρηχων για την απόκτηση εικόνων από την καρδιά.
Αν ο/η γιατρός χρησιμοποιήσει αυτή την εξέταση, η απουσία ενοχλήσεων στα τοιχώματα της καρδιάς κατά την κίνησή της, αποκλείει και την ύπαρξη ισχαιμίας. Εξάλλου, οι ενοχλήσεις στην κίνηση της καρδιάς δεν υπάρχουν αποκλειστικά στο οξύ στεφανιαίο σύνδρομο. Γι’ αυτόν τον λόγο, τα αποτελέσματα των εξετάσεων και τα συμπτώματα θα πρέπει να αξιολογηθούν μαζί.
Οξύ στεφανιαίο σύνδρομο – Άλλες εξετάσεις
Ορισμένες φορές, οι γιατροί ίσως προτείνουν μια στεφανιογραφία. Αυτή είναι μια εξέταση που χρησιμοποιεί έναν παράγοντα αντίδρασης και ακτινογραφίες για να παρατηρηθεί η ροή του αίματος μέσα από την καρδιά.
Ακόμη, οι γιατροί μπορούν να κάνουν και άλλες εξετάσεις για τη διάγνωση της ασθένειας. Σε αυτές περιλαμβάνονται το τεστ κοπώσεως, σπινθηρογράφημα καρδιάς, και μια άσκηση κοπώσεως με ηχοκαρδιογράφημα.
Όλες οι παραθέτονται πηγές ελέγχθηκαν προσεκτικά από την ομάδα μας για να διασφαλιστεί η ποιότητα, η αξιοπιστία, η επικαιρότητα και η εγκυρότητά τους. Η βιβλιογραφία αυτού του άρθρου θεωρήθηκε αξιόπιστη και επιστημονικά ακριβής.
- Cabrera S, Serrano I, Sans J, Bardají A. Protocolo diagnóstico del dolor torácico agudo. En: Urgencias. Unidades de dolor torácico. Medicine 2009;10(37)2511-4.
- Fauci, Braunwald, Kasper, Hauser, Longo, Jameson et al. Harrison, principios de Medicina Interna. Vol I-17a Edición. Mc Graw Hill Año 2009:87-91.
- Segura De La Cal, T., Carbonell San Román, S. A., & Zamorano Gómez, J. L. (2013). Síndrome coronario agudo. Medicine (Spain). https://doi.org/10.1016/S0304-5412(13)70608-5
- Sociedad Española de Cardiología. (2017). Proceso asistencial simplificado del síndrome coronario agudo. Sociedad Española de Cardiología. https://doi.org/http://dx.doi.org/10.2139/
- Lee Th, Goldman L. Evaluation Of The Patient With Acte Chest Pain. New England Journal Med 2000;342:1187-95
Αυτό το κείμενο προσφέρεται μόνο για ενημερωτικούς σκοπούς και δεν αντικαθιστά τη συμβουλή από επαγγελματία. Σε περίπτωση αμφιβολίας, συμβουλευτείτε τον ειδικό σας.







