Τι ακριβώς είναι ένας θρόμβος στον πνεύμονα;


Έχει εξετασθεί και εγκριθεί από: γιατρό Leonardo Biolatto
Ο καρκίνος είναι το πρώτο πράγμα που σας έρχεται στο μυαλό όταν ακούτε πως υπάρχει θρόμβος στον πνεύμονα κάποιου. Όμως, πρόκειται για καλοήθη πάθηση τις περισσότερες φορές, αν και μπορεί να υπάρχει μια σύνδεση μεταξύ των ασθενειών.
Ένας θρόμβος στον πνεύμονα είναι μια μάζα μεταξύ 5 και 30 χιλιοστών. Πρόκειται για μια πάθηση που εμφανίζεται όλο και πιο συχνά και εκτιμήσεις αναφέρουν ότι επηρεάζει περίπου το 0,2% του πληθυσμού. Τα καλά νέα είναι ότι περίπου το 60% αυτών των θρόμβων είναι καλοήθεις.
Οι αιτίες τις ασθένειας ποικίλουν από λοιμώξεις μέχρι και έναν όγκο. Οι όγκοι εντοπίζονται τυχαία όταν κάνετε μια αξονική τομογραφία ή μια ακτινογραφία.
Είναι σημαντική η έγκαιρη διάγνωση ώστε να αποφευχθούν επιπλοκές και να αποκλειστεί κάτι πιο σοβαρό. Έτσι, στο σημερινό μας άρθρο, θα σας εξηγήσουμε όσα πρέπει να γνωρίζετε για έναν θρόμβο στον πνεύμονα και τα συμπτώματα που παρουσιάζονται.
Θρόμβος στον πνεύμονα – Αιτίες
Όπως προαναφέραμε, ένας θρόμβος στον πνεύμονα είναι μια μάζα και οι αιτίες πρόκλησης ποικίλουν. Τις περισσότερες φορές οφείλεται σε μια λοίμωξη, είτε βακτηριακή, είτε από μύκητα, ή από παράσιτα.
Σχετικά με τις λοιμώξεις, σημειώστε πως οι θρόμβοι στον πνεύμονα είναι συχνοί σε άτομα με φυματίωση. Ναι, συμβαίνει ακόμη αλλά είναι πολύ σπάνια τα περιστατικά.
Ίσως σας ενδιαφέρει: 8 βότανα για πιο υγιείς πνεύμονες: Ποια είναι
Νεοπλασματική νόσος
Το πρώτο πράγμα που θα κάνει ένας γιατρός είναι να δει αν είναι καρκινογόνος ο θρόμβος. Ο λόγος είναι πως ο καρκίνος του πνεύμονα είναι μία από τις συχνότερες μορφές καρκίνου.
Σε τέτοιες περιπτώσεις, οι θρόμβοι έχουν μια ακανόνιστη εμφάνιση με όρια που προσδιορίζονται δύσκολα. Αυτοί είναι ορατοί σε μια ακτινογραφία. Επίσης, συνήθως είναι μικρότεροι από τους καλοήθεις. Επιπλέον, αποτελούν τμήμα των παραγόντων επικινδυνότητας όπως:
- Κάπνισμα
- Ηλικία άνω των 35 ετών
- Προηγούμενο ιστορικό καρκίνων
- Ταχεία ανάπτυξη του θρόμβου του πνεύμονα τους τελευταίους μήνες
Ωστόσο, είναι σημαντικό να γνωρίζετε ότι δεν είναι όλοι οι νεοπλασματικοί θρόμβοι στον πνεύμονα κακοήθεις. Υπάρχουν και καλοήθεις, αλλά είναι λιγότερο συχνοί.

Άλλες αιτίες
Υπάρχουν πολλές ασθένειες ακόμη οι οποίες οφείλονται σε αυτή τη διαταραχή. Παραδείγματος χάρη, ορισμένες διεργασίες του ανοσοποιητικού όπως η κοκκιωματώδης αγγειίτιδα Wegener ή τα ρευματοειδή οζίδια. Και τα δύο όμως είναι πολύ σπάνιες.
Ομοίως, ο θρόμβος του πνεύμονα μπορεί να εμφανιστεί λόγω κάποιου τραύματος. Αυτό συμβαίνει συνήθως σε άτομα με μια μεταβολική ασθένεια που ονομάζεται αμυλοείδωση ή μετά από την εμφάνιση μιας βρογχικής κύστης.
Πώς διαγιγνώσκεται ένας θρόμβος στον πνεύμονα;
Πρώτα, είναι σημαντικό να υπάρχει ένα πλήρες ιατρικό ιστορικό ώστε να διαγνωστεί ένας θρόμβος στον πνεύμονα και να προσδιοριστεί η αιτία του. Ένας ασθενής θα πρέπει να γνωρίζει αν είχε προηγουμένως φυματίωση ή αν είχε εκτεθεί σε συγκεκριμένες λοιμώξεις, ή μολυσμένα άτομα.
Επίσης σημαντικό είναι να γνωρίζει ο γιατρός αν πρόκειται για καπνιστή ή όχι. Πολλές μελέτες αποκάλυψαν ότι ένα μεγάλο κομμάτι των θρόμβων του πνεύμονα είναι καρκινογόνοι και σχετίζονται με το κάπνισμα.
Μόλις γίνουν τα παραπάνω, ο γιατρός θα πρέπει να εκτελέσει ορισμένες εξετάσεις απεικόνισης για να εντοπίσει τον θρόμβο. Επιπλέον, οι εικόνες θα του επιτρέψουν να παρατηρήσει ορισμένα χαρακτηριστικά όπως το σχήμα και το μέγεθος. Αυτό επειδή είναι σημαντικά στοιχεία για τη διαφοροποίηση ενός καλοήθη θρόμβου από έναν κακοήθη.
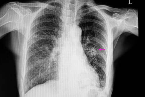
Οι πιο συχνοί τρόποι διάγνωσης είναι μια ακτινογραφία θώρακα και αξονικές τομογραφίες. Για να φανεί η ακριβής αιτία ενός θρόμβου στον πνεύμονα, οι γιατροί καταφεύγουν σε βιοψίες κάποιες φορές, καθώς αυτές τους επιτρέπουν να αναλύσουν τον ιστό.

Διαβάστε επίσης: Νέα ελπίδα για τους ασθενείς με καρκίνο του πνεύμονα
Θρόμβος στον πνεύμονα – Ποια είναι η καλύτερη θεραπεία;
Η θεραπεία που θα ακολουθηθεί εξαρτάται από την αιτία. Αρχικά, ίσως απαιτηθούν αντιβιοτικά ή αντιμυκητιακά, αν πρόκειται για λοίμωξη.
Όταν δεν είναι ξεκάθαρη η αιτία, η θεραπεία θα επικεντρωθεί στην πιθανότητα καρκίνου. Παραδείγματος χάρη, σε νέους ανθρώπους μη καπνιστές στους οποίους ο θρόμβος δε φαίνεται κακοήθης, ίσως απαιτηθούν περιοδικοί έλεγχοι μόνο. Κυρίως για να φανεί αν αλλάζει ή μεγαλώνει ο θρόμβος.
Ομοίως, αν υπάρχει κίνδυνος για εμφάνιση καρκίνου, τότε είναι σημαντικό να ακολουθήσει μια βιοψία ο γιατρός. Έπειτα, αν όντως πρόκειται για καρκινογόνο θρόμβο, θα πρέπει να γίνει χειρουργική επέμβαση για την αφαίρεσή του. Αν δεν είναι εφικτή αυτή η προσέγγιση τότε θα χρειαστεί χημειοθεραπεία ή ακτινοθεραπεία.
Τέλος, θα πρέπει να τονίσουμε τις αρνητικές επιπτώσεις του καπνού στους πνεύμονες. Θα πρέπει να έχετε επίγνωση του κινδύνου και να κάνετε συχνές εξετάσεις για να διαγνώσετε αυτή την παθολογία το συντομότερο δυνατό.
Όλες οι παραθέτονται πηγές ελέγχθηκαν προσεκτικά από την ομάδα μας για να διασφαλιστεί η ποιότητα, η αξιοπιστία, η επικαιρότητα και η εγκυρότητά τους. Η βιβλιογραφία αυτού του άρθρου θεωρήθηκε αξιόπιστη και επιστημονικά ακριβής.
- Un nódulo pulmonar solitario | Medicina Integral. (n.d.). Retrieved December 24, 2019, from https://www.elsevier.es/es-revista-medicina-integral-63-articulo-un-nodulo-pulmonar-solitario-13046283
- Nódulos pulmonares: ¿Pueden ser cancerosos? Mayo Clinic. https://www.mayoclinic.org/es-es/diseases-conditions/lung-cancer/expert-answers/lung-nodules/faq-20058445#:~:text=Los%20n%C3%B3dulos%20pulmonares%20no%20cancerosos%20generalmente%20no%20requieren%20tratamiento.,o%20cambia%20con%20el%20tiempo.
- Prevención del cáncer de pulmón (PDQ®)–Versión para profesionales de salud. Instituto Nacional del Cáncer. https://www.cancer.gov/espanol/tipos/pulmon/pro/prevencion-pulmon-pdq
Αυτό το κείμενο προσφέρεται μόνο για ενημερωτικούς σκοπούς και δεν αντικαθιστά τη συμβουλή από επαγγελματία. Σε περίπτωση αμφιβολίας, συμβουλευτείτε τον ειδικό σας.







