Αφαιρέστε την πέτρα από τα δόντια με φυσικό τρόπο


Έχει εξετασθεί και εγκριθεί από: γιατρό Nelton Abdon Ramos Rojas
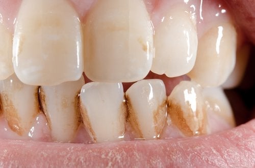
Η πέτρα, γνωστή και ως οδοντική πέτρα, είναι η σκλήρυνση της πλάκας λόγω των ορυκτών. Πώς να αφαιρέσετε την πέτρα από τα δόντια;
Αυτό συνήθως κάνει τα δόντια να φαίνονται μη ελκυστικά, με κιτρινωπό ή καφέ αποχρωματισμό. Στο όριο μεταξύ των ούλων και των δοντιών, τα υπολείμματα μπορεί να έχουν ακόμη πιο σκούρο χρώμα. Ως αποτέλεσμα, συχνά μοιάζει με ένα είδος κρούστας πάνω από την περιοχή.
Τι πρέπει να γνωρίζετε για την πέτρα;

Η πέτρα είναι τραχεία στην αφή. Εκτός από αισθητικό πρόβλημα, μπορεί να οδηγήσει και σε άλλα προβλήματα υγείας. Όταν αλληλεπιδρά με ορισμένα τρόφιμα (όπως γλυκά, αναψυκτικά και τηγανητά τρόφιμα), απελευθερώνει ένα οξύ που μπορεί να προκαλέσει τερηδόνα.
Από την άλλη πλευρά, ορισμένες συνήθειες όπως το κάπνισμα, ο αλκοολισμός και η υπερβολική κατανάλωση καφέ μπορούν να προάγουν την εμφάνιση πέτρας. Μπορεί επίσης να υπάρχει γενετική προδιάθεση για παραγωγή πέτρας.
Μπορεί να σας φανεί ενδιαφέρον: Οι πολλές χρήσεις του λαδιού καρύδας για τη φροντίδα του σώματός σας
Σπιτικές θεραπείες για να αφαιρέσετε την πέτρα από τα δόντια
Η καλύτερη θεραπεία κατά της πέτρας είναι η πρόληψη και οι σωστές συνήθειες οδοντικής υγιεινής βοηθούν στην πρόληψη της εμφάνισής της. Οι ειδικοί συνιστούν να βουρτσίζετε τα δόντια σας μετά από κάθε γεύμα ή τουλάχιστον δύο φορές την ημέρα. Το νήμα ή η χρήση μεσοδόντιων βουρτσών τουλάχιστον μία φορά την ημέρα βοηθά επίσης στην πρόληψη της εμφάνισης πέτρας.
Εκτός από τη διατήρηση καλών συνηθειών οδοντικής υγιεινής, είναι απαραίτητο να επισκέπτεστε περιοδικά τον οδοντίατρο για σχολαστικό καθαρισμό. Ωστόσο, μπορείτε επίσης να επωφεληθείτε από τα οφέλη συγκεκριμένων οικιακών θεραπειών για να αποτρέψετε την υπερβολική πέτρα στα δόντια.
Μαγειρική σόδα για να αφαιρέσετε την πέτρα από τα δόντια

Πολλοί άνθρωποι χρησιμοποιούν μαγειρική σόδα αναμεμειγμένη με λεμόνι ή αλάτι για να ενισχύσουν την οδοντική τους υγιεινή και να διατηρήσουν το χρώμα των δοντιών τους καθαρό, δεδομένων των ιδιοτήτων αυτών των συστατικών. Συνιστάται επίσης να το ανακατεύετε με λίγο νερό, καθώς η γεύση μπορεί να είναι λίγο έντονη.
Ωστόσο, να είστε προσεκτικοί με τη χρήση του, γιατί μπορεί να βλάψει το σμάλτο των δοντιών σας.
Συστατικά
- Μια κουταλιά της σούπας μαγειρική σόδα (10 γρ.)
- Ένα κουταλάκι του γλυκού αλάτι (5 g)
- Νερό (όσο χρειάζεται)
Παρασκευή
- Σε ένα μπολ ανακατεύουμε τη μαγειρική σόδα και το αλάτι.
- Στη συνέχεια, βυθίστε την οδοντόβουρτσά σας σε ζεστό νερό.
- Μετά, βυθίστε την οδοντόβουρτσα στο μείγμα μαγειρικής σόδας και αλατιού για να μουλιάσει.
- Βουρτσίστε ως συνήθως, αλλά προσπαθήστε να εστιάσετε στις περιοχές όπου η πέτρα τείνει να συσσωρεύεται περισσότερο.
- Επαναλάβετε τουλάχιστον δύο φορές την ημέρα (πρωί και βράδυ) για να έχετε αποτελέσματα.
Λεμόνι για να αφαιρέσετε την πέτρα από τα δόντια
Αυτό είναι ένα από τα καλύτερα λευκαντικά δοντιών. Αυτό το εσπεριδοειδές έχει αντιβακτηριακές ιδιότητες που είναι χρήσιμες κατά την καταπολέμηση της πέτρας.
Αφού το χρησιμοποιήσετε, ξεπλύνετε καλά για να μην δημιουργήσει λεκέδες στο δέρμα γύρω από το στόμα την επόμενη μέρα όταν έρθει σε επαφή με τον ήλιο.
Το οξύ στο λεμόνι μπορεί να βλάψει ή να αποδυναμώσει τα δόντια, επομένως θα πρέπει να χρησιμοποιείτε αυτή τη συνταγή, το πολύ, μία φορά την εβδομάδα.
Συστατικά
- Ο χυμός από ½ λεμόνι
- ½ φλιτζάνι ζεστό νερό (125 ml)
Παρασκευή
- Γεμίστε μισό φλιτζάνι με ζεστό νερό. Προσθέστε χυμό λεμονιού.
- Στη συνέχεια, τοποθετήστε το νερό και το χυμό σε ένα ποτήρι ή ένα φλιτζάνι και ανακατέψτε.
- Στριφογυρίστε το στο στόμα σας πριν πάτε για ύπνο.
- Τέλος ξεπλένουμε με λίγο χλιαρό νερό, για να μην σας μείνει η ξινή γεύση.
Υπεροξείδιο του υδρογόνου
Αυτή η οικιακή βάση μπορεί επίσης να χρησιμοποιηθεί για να αφαιρέσει την πέτρα. Μπορείτε να χρησιμοποιήσετε αυτό το σπιτικό φάρμακο έως και τρεις φορές την εβδομάδα, πάντα ως ξέβγαλμα μετά το συνηθισμένο βούρτσισμα.
Συστατικά
- ¼ φλιτζάνι ζεστό νερό (62 ml)
- Δύο κουταλιές της σούπας υπεροξείδιο του υδρογόνου (20 ml)
Παρασκευή
- Βάζουμε ζεστό νερό σε ένα ποτήρι και προσθέτουμε το υπεροξείδιο του υδρογόνου. Ανακατεύουμε καλά.
- Στη συνέχεια, πάρτε λίγο από το νερό και γυρίστε το στο στόμα σας για τουλάχιστον 1 λεπτό.
- Φτύστε το μείγμα και επαναλάβετε για άλλο ένα λεπτό.
- Ξεπλύνετε με δροσερό νερό.
Επισκεφθείτε αυτό το άρθρο: Φυσικοί τρόποι αντιμετώπισης της ουλίτιδας
Σουσάμι

Αυτοί οι σπόροι είναι ιδανικοί για την αφαίρεση της συσσωρευμένης βρωμιάς από τα δόντια.
- Απλά πρέπει να πάρετε μια κουταλιά από αυτά και να τα μασήσετε αργά για ένα ή δύο λεπτά.
- Στη συνέχεια, φτύστε τα και κάντε μασάζ στα δόντια με τη βοήθεια μιας οδοντόβουρτσας που έχετε ήδη εμποτίσει.
- Τέλος, ξεπλύνετε με νερό.
Μαϊντανός για να αφαιρέσετε την πέτρα από τα δόντια

Αυτό το αρωματικό βότανο που χρησιμοποιείται σε πολλές συνταγές, μπορεί επίσης να βοηθήσει στην καταπολέμηση της συσσώρευσης πέτρας στα ούλα. Μία από τις απλούστερες θεραπείες είναι η εξής:
Συστατικά
- Μία χούφτα φύλλα μαϊντανού (20 γρ.)
- Μια κουταλιά της σούπας νερό (10 ml)
Παρασκευή
- Πλένουμε και ψιλοκόβουμε τα φύλλα μαϊντανού.
- Στη συνέχεια, ανακατέψτε με νερό για να σχηματιστεί μια πάστα.
- Βάλτε το μείγμα στα δόντια σας και αφήστε το να δράσει για περίπου 5 λεπτά.
- Ξεπλύνετε με άφθονο χλιαρό νερό.
Φρούτα για την αφαίρεση της πέτρας από τα δόντια

Είτε το πιστεύετε είτε όχι, ορισμένα φρούτα μπορούν να λευκάνουν τα δόντια μας και να αφαιρέσουν την μακροχρόνια πέτρα. Για να λειτουργήσει αυτή η μέθοδος, θα πρέπει να τα φάτε ωμά και να τα δαγκώσετε (μην τα κόψετε με μαχαίρι).
Το μήλο, το πεπόνι και οι φράουλες είναι τρεις τέλειες εναλλακτικές για να έχετε υγιή ούλα, να αποφύγετε τη συσσώρευση τροφής και να αποτρέψετε την αιμορραγία που εμφανίζεται με το βούρτσισμα. Ωστόσο, πρέπει να σημειωθεί ότι τα μήλα πρέπει να τρώγονται με τη φλούδα τους για να επιτευχθεί το επιθυμητό αποτέλεσμα.
Επίσης, τόσο οι φράουλες όσο και οι ντομάτες μπορούν να χρησιμοποιηθούν απλά κόβοντάς τες σε φέτες και τρίβοντάς τες απευθείας στα δόντια πριν από κάθε γεύμα.
Πρόσφατες μελέτες δείχνουν ότι η σταθερή μακροχρόνια κατανάλωση φρούτων σχετίζεται με μείωση του σχηματισμού πέτρας. Αυτό συμβαίνει γιατί τα φρούτα προάγουν την οξίνιση της οδοντικής πλάκας, εμποδίζοντας τη συσσώρευσή της.
Ένας άλλος σπιτικός τρόπος για να καταπολεμήσετε την πέτρα είναι να τρίψετε το εσωτερικό της φλούδας ορισμένων φρούτων (πορτοκάλι και μπανάνα) στα δόντια σας για περίπου 2-3 λεπτά πριν και μετά το φαγητό. Μην τα πετάτε λοιπόν και εκμεταλλευτείτε τα για να φροντίσετε τα δόντια σας!
Όλες οι παραθέτονται πηγές ελέγχθηκαν προσεκτικά από την ομάδα μας για να διασφαλιστεί η ποιότητα, η αξιοπιστία, η επικαιρότητα και η εγκυρότητά τους. Η βιβλιογραφία αυτού του άρθρου θεωρήθηκε αξιόπιστη και επιστημονικά ακριβής.
- Al‐Hashedi, A. A., Dubreuil, N., Schwinghamer, T., Dorzhiyeva, S., Anweigi, L., Emami, E., & Tamimi, F. (2022). Aragonite toothpaste for management of dental calculus: A double‐blinded randomized controlled clinical trial. Clinical and Experimental Dental Research, 8(4), 863-874. https://onlinelibrary.wiley.com/doi/abs/10.1002/cre2.559
- American Dental Association (ADA). (2021). Floss/Interdental Cleaners. https://www.ada.org/resources/ada-library/oral-health-topics/floss/
- Benahmed, A. G., Gasmi, A., Dadar, M., Arshad, M., & Bjørklund, G. (2021). The role of sugar-rich diet and salivary proteins in dental plaque formation and oral health. Journal of oral biosciences, 63(2), 134-141. https://www.sciencedirect.com/science/article/pii/S1349007921000116
- Brooks, J. K., Bashirelahi, N., & Reynolds, M. A. (2017). Charcoal and charcoal-based dentifrices: A literature review. The Journal of the American Dental Association, 148(9), 661-670. https://www.sciencedirect.com/science/article/pii/S0002817717304129
- Deus, F. P., & Ouanounou, A. (2022). Chlorhexidine in dentistry: pharmacology, uses, and adverse effects. International dental journal, 72(3), 269-277. https://www.sciencedirect.com/science/article/pii/S0020653922000259
- Duane, B., Yap, T., Neelakantan, P., Anthonappa, R., Bescos, R., McGrath, C., … & Brookes, Z. (2023). Mouthwashes: alternatives and future directions. international dental journal. https://www.sciencedirect.com/science/article/pii/S0020653923004574
- James, P., Worthington, H. V., Parnell, C., Harding, M., Lamont, T., Cheung, A., … & Riley, P. (2017). Chlorhexidine mouthrinse as an adjunctive treatment for gingival health. Cochrane Database of Systematic Reviews, (3). https://www.cochranelibrary.com/cdsr/doi/10.1002/14651858.CD008676.pub2/abstract
- Myneni, S. R. (2017). Effect of baking soda in dentifrices on plaque removal. The Journal of the American Dental Association, 148(11), S4-S9. https://www.sciencedirect.com/science/article/pii/S0002817717308097
- Pandiyan, I., Rathinavelu, P. K., Arumugham, M. I., Srisakthi, D., & Balasubramaniam, A. (2022). Efficacy of Chitosan and Chlorhexidine Mouthwash on Dental Plaque and Gingival inflammation: a systematic review. Cureus, 14(3). https://www.ncbi.nlm.nih.gov/pmc/articles/PMC9014838/
- Peedikayil, F. C., Sreenivasan, P., & Narayanan, A. (2015). Effect of coconut oil in plaque related gingivitis—A preliminary report. Nigerian Medical Journal, 56(2), 143-147. https://journals.lww.com/nimj/fulltext/2015/56020/effect_of_coconut_oil_in_plaque_related_gingivitis.12.aspx
- Polatoglu, S. (s.f.) Toothpaste: overview. International Research in Dentistry. ISBN: 978-625-6971-22-6. https://www.researchgate.net/profile/Selin-Polatoglu/publication/369594309_toothpaste/links/6423eed5a1b72772e43503f1/toothpaste.pdf
- Ren, X., He, J., Cheng, R., Chen, Y., Xiang, Y., Zhang, Y., … & Hu, T. (2023). The efficacy and safety of oral irrigator on the control of dental plaque and gingivitis: a randomized, single-blind, parallel-group clinical trial. International Journal of Environmental Research and Public Health, 20(4), 3726. https://www.mdpi.com/1660-4601/20/4/3726
- Ruiz, M. A., de Souza Miola, L., Hori, G. M. R., & Catelan, A. (2021). Whitening effect of brushing with activated charcoal-based products on enamel: Integrative review. Research, Society and Development, 10(15), e259101522809-e259101522809. https://rsdjournal.org/index.php/rsd/article/view/22809
- Van der Weijden, F. A., & Slot, D. E. (2015). Efficacy of homecare regimens for mechanical plaque removal in managing gingivitis a meta review. Journal of clinical periodontology, 42, S77-S91. https://onlinelibrary.wiley.com/doi/abs/10.1111/jcpe.12359
- Zotarelli Filho, I. J. (2016). Influence of smok factors. International Journal of Current Research, 8(0). https://scholar.googleusercontent.com/scholar?q=cache:oF956BduwB0J:scholar.google.com/+INFLUENCE+OF+SMOKING+IN+CLINICAL+PRESEWITH+OTHER+CARDI1&hl=es&as_sdt=0,5&as_ylo=2016&as_yhi=2024
Αυτό το κείμενο προσφέρεται μόνο για ενημερωτικούς σκοπούς και δεν αντικαθιστά τη συμβουλή από επαγγελματία. Σε περίπτωση αμφιβολίας, συμβουλευτείτε τον ειδικό σας.







