Τι είναι το αδένωμα της υπόφυσης; Τι πρέπει να ξέρετε


Έχει εξετασθεί και εγκριθεί από: γιατρό Diego Pereira
Ένα αδένωμα της υπόφυσης είναι ένας αργός αναπτυσσόμενος καλοήθης όγκος. Προέρχεται από τα κύτταρα που αποτελούν την υπόφυση. Είναι ένας αδένας που ρυθμίζει τη λειτουργία άλλων αδένων στο σώμα, γεγονός που τον καθιστά σημαντικό. Ωστόσο, ένα αδένωμα της υπόφυσης είναι σχετικά κοινό και εμφανίζεται σε περίπου 1 στους 1.000 ενήλικες. Δεν υπάρχει διάκριση όσον αφορά στο φύλο, καθώς επηρεάζει εξίσου άνδρες και γυναίκες. Υπάρχει μεγαλύτερη συχνότητα μεταξύ 30 και 40 ετών, όσον αφορά τις ηλικιακές μεταβλητές.
Σε γενικές γραμμές, είναι ένας καλοήθης και αργά αναπτυσσόμενος όγκος. Έτσι, τα καρκινώματα της υπόφυσης ή οι κακοήθεις όγκοι είναι πολύ ασυνήθιστοι. Ακόμα δεν γνωρίζουμε τις πραγματικές αιτίες του αδενώματος της υπόφυσης. Ωστόσο, σε ορισμένες περιπτώσεις, σχετίζεται με μια γενετική ασθένεια που ονομάζεται πολλαπλή ενδοκρινική διαδικασία.
Συμπτώματα για το αδένωμα της υπόφυσης

Το κύριο σύμπτωμα που προκύπτει από αυτούς τους τύπους όγκων είναι μια μεταβολή στην έκκριση ορμονών. Ανάλογα με τη συχνότητα εμφάνισης όγκων στην υπόφυση, μπορεί να παράγουν περισσότερες ορμόνες. Λόγω της αλλαγής στο ενδοκρινικό σύστημα, τα συμπτώματα μπορεί να είναι:
- Υπερθυρεοειδισμός: Ο θυρεοειδής αδένας παράγει υπερβολικές ποσότητες ορμονών. (Αυτό το σύμπτωμα είναι αρκετά ασυνήθιστο σε εκείνους που επηρεάζονται από αδένωμα της υπόφυσης.)
- Σύνδρομο Cushing: Εδώ το επίπεδο κορτιζόλης, μιας ορμόνης, είναι υψηλότερο από το κανονικό.
- Ακρομεγαλία: Τα παιδιά με υψηλό επίπεδο αυξητικής ορμόνης μπορεί να υποφέρουν από γιγαντισμό. Εάν συμβεί σε έναν ενήλικα, μπορεί να υπάρχει ακρομεγαλία.
- Έκκριση και παραγωγή γάλακτος σε άνδρες και γυναίκες.
- Ανώμαλες εμμηνορροϊκές περίοδοι στις γυναίκες λόγω αλλοίωσης των ορμονών του φύλου.
Μάθετε περισσότερα για το πώς να φτιάξετε έλαιο μέντας.
Αντίθετα, ορισμένα συγκεκριμένα συμπτώματα εμφανίζονται όταν υπάρχει συμπίεση των εγκεφαλικών δομών λόγω ενός μεγάλου όγκου υπόφυσης. Μπορούν να περιλαμβάνουν:
- Οπτικές διαταραχές όπως διπλή όραση, απώλεια οπτικού πεδίου ή αλλαγές στην έγχρωμη όραση.
- Πονοκέφαλοι.
- Κούραση και υπνηλία
- Ρινική ροή διαυγούς υγρού.
- Ναυτία και έμετος.
- Προβλήματα με την αίσθηση της όσφρησης.
Αυτά τα συμπτώματα θα μπορούσαν να είναι ανησυχητικά εάν εμφανιστούν ξαφνικά και ταυτόχρονα. Επίσης, θα μπορούσαν να οδηγήσουν σε έμφραγμα της υπόφυσης. Εάν παρατηρήσετε κάποιο από αυτά τα συμπτώματα, να επισκεφτείτε το γιατρό σας.
Τύποι αδενωμάτων
Μπορούμε να ταξινομήσουμε τα αδενώματα της υπόφυσης σύμφωνα με το μέγεθος με τον ακόλουθο τρόπο:
- Μικροαδενώματα: Αυτά είναι μικρότερα από ένα εκατοστό.
- Μάκροαδενώματα: Αυτά είναι μεγαλύτερα από ένα εκατοστό. Αυτός ο τύπος αδενώματος οδηγεί συχνά σε μεγάλο έλλειμμα σε μία ή περισσότερες ορμόνες της υπόφυσης.
Επίσης, μπορεί κανείς να τα ταξινομήσει ανάλογα με το εάν εκκρίνουν ορμόνες ή όχι. Σύμφωνα με αυτά τα κριτήρια, μπορεί να είναι λειτουργικά εάν εκκρίνουν από μόνα τους ορμόνες. Από την άλλη πλευρά, είναι μη λειτουργικά αδενώματα εάν δεν εκκρίνουν ορμόνες.
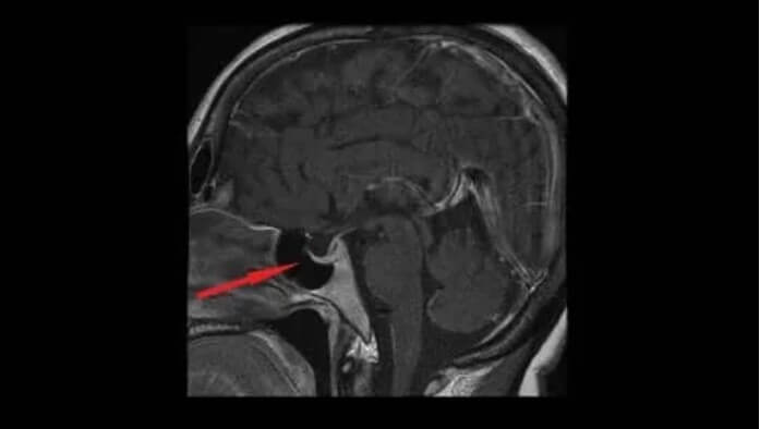
Διάγνωση

Όσον αφορά τη διάγνωση, ένας γιατρός πρέπει να κάνει μια εξέταση για να αναλύσει εάν υπάρχουν προβλήματα με διπλή όραση και οπτικό πεδίο. Επίσης, οι γιατροί μελετούν την απώλεια πλευρικής ή περιφερειακής όρασης και την ικανότητα να βλέπετε σε ορισμένες περιοχές. Στη συνέχεια, πραγματοποιούν ανάλυση της ενδοκρινικής λειτουργίας για να αναζητήσουν τυχόν σημάδια ορμονικής περίσσειας ή άλλων ανωμαλιών. Έτσι, μπορούν να μετρήσουν παραμέτρους όπως αυξημένα επίπεδα κορτιζόλης, σύνδρομο Cushing ή υπερβολική αυξητική ορμόνη.
Οι πιο σχετικές εξετάσεις που βοηθούν στην επιβεβαίωση της διάγνωσης είναι το οπτικό πεδίο και η μαγνητική τομογραφία και αξονική εγκεφάλου.
Διαβάστε περισσότερα για τις 10 καλλυντικές χρήσεις του αλατιού.
Θεραπεία για το αδένωμα της υπόφυσης
Συνολικά, οι τρέχουσες θεραπευτικές επιλογές περιλαμβάνουν:
- Φαρμακολογική θεραπεία και αντικατάσταση ορμονών: Τα φάρμακα που εμποδίζουν την ορμονική έκκριση μπορούν να ελέγξουν τα συμπτώματα, ακόμη και να μειώσουν το μέγεθος ενός όγκου.
- Τεχνικές ακτινοθεραπείας: Αυτές χρησιμοποιούνται συχνά για τη μείωση του μεγέθους ενός όγκου.
- Χειρουργική επέμβαση για το αδένωμα υπόφυσης: Αυτοί οι όγκοι συνήθως αφαιρούνται μέσω της ρινικής κοιλότητας. Ωστόσο, σε άλλες περιπτώσεις, οι γιατροί μπορεί να χρειαστεί να κάνουν κρανιοτομή ή άνοιγμα του κρανίου.
- Η ενδοσκοπική ρινική χειρουργική επέμβαση συνίσταται στην εισαγωγή ενδοσκοπίου μέσω των ρουθουνιών και την ολίσθηση μεταξύ του μεσαίου στροβίλου και του ρινικού διαφράγματος έως ότου εντοπίσουν τη σφαιροειδή οπή. Αυτή η τρύπα μεγεθύνεται για να επιτευχθεί ένα επαρκές άνοιγμα του σφανοειδούς κόλπου και να είναι σε θέση να απεικονίσει το δάπεδο για την απομάκρυνση του όγκου.
Η τύφλωση είναι η πιο σοβαρή επιπλοκή εάν υπάρχει σοβαρή βλάβη στο οπτικό νεύρο. Επίσης, ο όγκος ή η εκτομή του θα μπορούσε να προκαλέσει ορμονικές ανισορροπίες για τη ζωή και να οδηγήσει σε διαβήτη. Τα χαρακτηριστικά συμπτώματα για αυτόν τον τύπο διαβήτη είναι η συχνή ούρηση και η υπερβολική δίψα.
Σε κάθε περίπτωση, είναι σημαντικό να αναζητήσετε θεραπεία το συντομότερο δυνατό εάν παρατηρήσετε κάποιο από τα παραπάνω συμπτώματα.
Όλες οι παραθέτονται πηγές ελέγχθηκαν προσεκτικά από την ομάδα μας για να διασφαλιστεί η ποιότητα, η αξιοπιστία, η επικαιρότητα και η εγκυρότητά τους. Η βιβλιογραφία αυτού του άρθρου θεωρήθηκε αξιόπιστη και επιστημονικά ακριβής.
-
Jaime, M. de, López, F., & Cabrera, G. (2003). Patología de los adenomas hipofisarios. Patología.
-
Betanzos, R. R., Gerardo, E., Pérez, D., Apolonia, S., Montaño, A., Sánchez, V., … Mendoza, C. (2009). Artículo de revisión Acromegalia. Mcm.
-
CARNEIRO, C. C., MENDES, B. B., & BASTOS, L. G. (2015). ADENOMA HIPOFISÁRIO: CORRELAÇÃO CLÍNICA, LABORATORIAL E RADIOLÓGICA. REVISTA DA UNIVERSIDADE VALE DO RIO VERDE. https://doi.org/10.5892/ruvrd.v13i1.1979
Αυτό το κείμενο προσφέρεται μόνο για ενημερωτικούς σκοπούς και δεν αντικαθιστά τη συμβουλή από επαγγελματία. Σε περίπτωση αμφιβολίας, συμβουλευτείτε τον ειδικό σας.







