Ελκονεκρωτική ουλίτιδα - Προέλευση, συμπτώματα, και θεραπεία

Η ελκονεκρωτική ουλίτιδα, γνωστή και ως οξεία νεκρωτική ελκώδης ουλίτιδα, είναι μια σπάνια ασθένεια. Ήταν πολύ συχνή σε στρατιώτες σε περίοδο πολέμου εξαιτίας των ανθυγιεινών συνθηκών και συνηθειών που έπρεπε να υπομένουν.
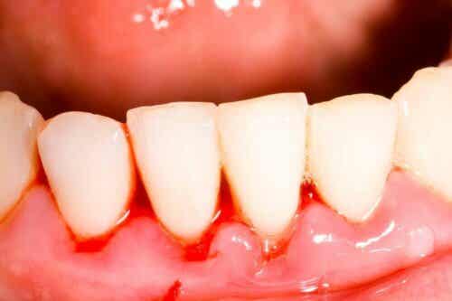
Εκδηλώνεται ως μια οξεία και επώδυνη λοίμωξη στην οποία τα ούλα αιμορραγούν εξαιτίας της νέκρωσης των θηλών και της γενικής επίθεσης στην υγεία του στόματος. Σύμφωνα με μελέτες, συνδέεται συνήθως με το AIDS. Αυτό επειδή η επίκτητη ανοσοανεπάρκεια προκαλεί συνήθως στοματικά προβλήματα στο 90% των ασθενών.
Τι την προκαλεί;
Η ελκονεκρωτική ουλίτιδα είναι μια επώδυνη μορφή φλεγμονής των ούλων που είναι γνωστή ως ουλίτιδα. Τα βακτήρια Bacillus fusiformis και Borrelia Vincentii σχετίζονται με τις πληγές που εμφανίζονται εδώ. Δεν είναι τα μόνα όμως.
Σύμφωνα με επιστημονικές μελέτες, υπάρχουν τέσσερις ζώνες στην επηρεασμένη περιοχή:
- Η βακτηριακή ζώνη είναι μια μεγάλη μάζα βακτηρίων με ιδιαίτερη μορφολογία και χαρακτηριστικά. Δεν είναι βλαβερά απαραίτητα, αρχικά, αλλά ο υπερβολικός πολλαπλασιασμός τους προκαλεί την ασθένεια.
- Μια ζώνη πλούσια σε ουδετερόφιλα, τα λευκοκύτταρα που βρίσκονται σε αφθονία στο αίμα και από τα πρώτα που φτάνουν τους μολυσματικούς μύκητες. Αυτά είναι μέρος του πύου και βρίσκονται, σε αυτή την περίπτωση, στη βακτηριακή ζώνη.
- Η νεκρωτική ζώνη είναι αυτή στην οποία πεθαίνουν τα κύτταρα. Οι σπειροχαίτες, ένας τύπος βακτηρίου με επίμηκες, ελικοειδές σχήμα, είναι κυρίαρχοι εδώ.
- Η εισβολή των σπειροχαιτών λαμβάνει χώρα στο τελευταίο επίπεδο, στο οποίο εισβάλουν και δεν υπάρχουν άλλα είδη βακτηρίων.
Όπως αναφέρει η Αμερικανική Εθνική Ιατρική Βιβλιοθήκη, οι ακόλουθοι παράγοντες μπορούν να προκαλέσουν την υπερανάπτυξη των βακτηρίων που οδηγεί στη ελκονεκρωτική ουλίτιδα: άγχος, κακή στοματική υγιεινή, κάπνισμα, ασιτία, και αδύναμο ανοσοποιητικό σύστημα.

Διαβάστε ακόμη: Άφθες στα παιδιά: Πώς μπορείτε να τις θεραπεύσετε γρήγορα;
Ελκονεκρωτική ουλίτιδα – Συμπτώματα
Το εγχειρίδιο MSD αναφέρει ότι η λοίμωξη ξεκινά ξαφνικά, συνήθως, με πόνο και αιμορραγία των ούλων, συν υπερβολική παραγωγή σάλιου. Ορισμένα από τα πιο συχνά κλινικά σημάδια είναι τα ακόλουθα:
- Κακή αναπνοή
- Έλκη ανάμεσα στα δόντια
- Πυρετός
- Δυσάρεστη γεύση στο στόμα που αντιλαμβάνεται μόνο ο ασθενής (ορισμένοι την περιγράφουν ως μεταλλική γεύση)
- Γκριζαρισμένη ταινία στα ούλα που εμφανίζονται κόκκινα και ματωμένα
Ο ασθενής δυσκολεύεται να εκτελέσει συνηθισμένες ενέργειες όπως να μιλά, να τρώει, και να καταπίνει ως απόρροια αυτών των συμπτωμάτων. Οι λεμφαδένες στον λαιμό πρήζονται πολύ συχνά ως αντίδραση στη λοίμωξη (λεμφαδενοπάθεια).
Πιθανές επιπλοκές
Δεδομένης της δυσκολίας στο φαγητό και της φυσιολογικής ζωής, άλλες συχνές επιπλοκές είναι το αδυνάτισμα, η αφυδάτωση, και η απώλεια δοντιών. Είναι πολύ πιθανό να διεισδύσουν στο αίμα τα βακτήρια αν το άτομο αγνοήσει αυτά τα κλινικά σημάδια, και αυτό θα οδηγήσει σε βακτηριαιμία.
Η εξάπλωση της λοίμωξης μπορεί να είναι καταστροφική καθώς επηρεάζει πολλαπλά όργανα και, επιπλέον, υπάρχει σηπτικό σοκ. Αυτό συμβαίνει όταν το σώμα αντιδρά υπερβολικά και πέφτει η πίεση.
Ελκονεκρωτική ουλίτιδα – Διάγνωση
Όπως αναφέρει η διαδικτυακή πύλη Drugs, η φυσική εξέταση είναι το πρώτο βήμα για την ανίχνευση του προβλήματος. Ο ειδικός θα ελέγξει για έλκη, πλάκες με γκρι χρώμα γύρω από τα δόντια, και για καταστροφή του ουλικού ιστού. Η διάγνωση είναι γρήγορη συνήθως και δεν υπάρχουν μεγάλα περιθώρια λάθους.
Ένας γιατρός ίσως απαιτήσει αιματολογικές εξετάσεις και ακτινογραφίες, για να αξιολογήσει την έκταση της ζημιάς που προκάλεσε η λοίμωξη, σύμφωνα με το μέγεθος των πληγών. Η προσέγγιση θα εξαρτηθεί από τη σοβαρότητα της κλινικής εικόνας.
Πότε να αναζητήσετε ιατρική βοήθεια;
Οποιοσδήποτε τύπος φλεγμονής των ούλων απαιτεί ιατρική παρέμβαση και δεν οφείλονται όλοι σε λοιμώξεις. Ωστόσο, θα πρέπει ν’ αποκλείσετε εγκαίρως την ασθένεια.
Μια στοματική λοίμωξη μπορεί να χειροτερέψει σημαντικά αν δεν αντιμετωπιστεί εγκαίρως επειδή τα βακτήρια μπορούν να εισέλθουν στο αίμα.
Ελκονεκρωτική ουλίτιδα – Διαθέσιμες θεραπείες
Σύμφωνα με την πύλη υγείας Siegfried Rhein, στόχος των θεραπειών είναι η θεραπεία της λοίμωξης και η ανακούφιση από τα συμπτώματα. Αυτό μπορεί να γίνει μέσω της χρήσης αντιβιοτικών, αλλά οι κύριοι πυλώνες είναι:
- Επαγγελματικός καθαρισμός, αργά και διεξοδικά, σε βάθος αρκετών ημερών. Αυτή η ασθένεια ανταποκρίνεται καλά σε βαθείς καθαρισμούς.
- Ο ασθενής θα πρέπει να εκτελεί πλύσεις με αλατόνερο, περιστασιακά, ή με υπεροξείδιο του υδρογόνου.
- Οι γιατροί συμβουλεύουν συνήθως να μην βουρτσίζει τα δόντια ο ασθενής, λόγω της ευθραυστότητας του στοματικού συστήματος εξαιτίας της πάθησης. Μετά το ξέβγαλμα και τον καθαρισμό, θα πρέπει να τα βουρτσίζει για το υπόλοιπο της ζωής του προκειμένου να αποτρέψει την επανεμφάνισή της.

Πρόληψη
Αυτή είναι απλή και βασίζεται στην καλή διατροφή, τη σωστή στοματική υγιεινή, και τις τακτικές επισκέψεις στον οδοντίατρο. Οι ειδικοί συνιστούν στους ασθενείς να παραμένουν δραστήριοι και να σταματήσουν το κάπνισμα.
Πέραν των παραπάνω, η ελκονεκρωτική ουλίτιδα έχει και μια σημαντική ψυχολογική πτυχή καθώς σχετίζεται με το άγχος πολλές φορές. Γι’ αυτόν τον λόγο, οι ασθενείς θα πρέπει ν’ αναζητούν και άλλου είδους βοήθεια, πέραν των φαρμάκων, για να διαχειριστούν τέτοιες παθήσεις.
Ίσως σας ενδιαφέρει: 5 σπιτικές και αποτελεσματικές θεραπείες για την ουλίτιδα
Η ελκονεκρωτική ουλίτιδα έχει εξαφανιστεί, σχεδόν
Αυτή η ασθένεια δεν είναι τόσο συχνή όσο ήταν παλαιότερα καθώς τα πρότυπα προσωπικής υγιεινής συνεχίζουν να αυξάνονται. Θα πρέπει να βουρτσίζετε τα δόντια σας καθημερινά και να επισκέπτεστε τον οδοντίατρό σας συχνά. Εκείνος θα μπορέσει να εκτιμήσει πιθανά προβλήματα ώστε να αποτρέψει την επιδείνωσή τους.
Όλες οι παραθέτονται πηγές ελέγχθηκαν προσεκτικά από την ομάδα μας για να διασφαλιστεί η ποιότητα, η αξιοπιστία, η επικαιρότητα και η εγκυρότητά τους. Η βιβλιογραφία αυτού του άρθρου θεωρήθηκε αξιόπιστη και επιστημονικά ακριβής.
- Simeone Giordano, S., & Castillo Amature, C. D. (2007). Gingivitis úlcero necrosante y su relación con el VIH/SIDA. Acta odontológica venezolana, 45(3), 473-478.
- Lira, D. P., & Zerón, A. (2013). Gingivitis ulcerativa necrotizante Revisión y reporte de dos casos. Revista Mexicana de Periodontología, 4(1), 7-14.
- Boca de trinchera, Medlineplus.gov. Recogido a 27 de enero en https://medlineplus.gov/spanish/ency/article/001044.htm
- Gingivitis ulcerativa necrotizante aguda (GUNA), MSDmanuals. Recogido a 27 de enero en https://www.msdmanuals.com/es/hogar/trastornos-bucales-y-dentales/enfermedades-periodontales/gingivitis-ulcerativa-necrotizante-aguda-guna
- Boca de trinchera, drugs.com. Recogido a 27 de enero en https://www.drugs.com/cg_esp/boca-de-trinchera.html
- Boca de trinchera, Siegfried Rhein. Recogido a 27 de enero en https://siegfried.com.mx/boca-de-trinchera/
Αυτό το κείμενο προσφέρεται μόνο για ενημερωτικούς σκοπούς και δεν αντικαθιστά τη συμβουλή από επαγγελματία. Σε περίπτωση αμφιβολίας, συμβουλευτείτε τον ειδικό σας.







